Implant specialist–led planning (All-on-4 & full-arch cases)
Clear pricing & realistic treatment timelines
Travel coordination support available
No obligation. Clear quote after evaluation. Response within 24 hours
Limited consultations available each week

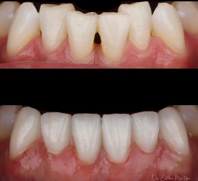
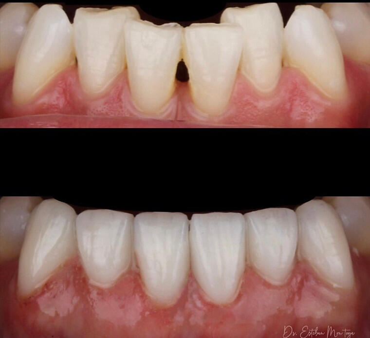
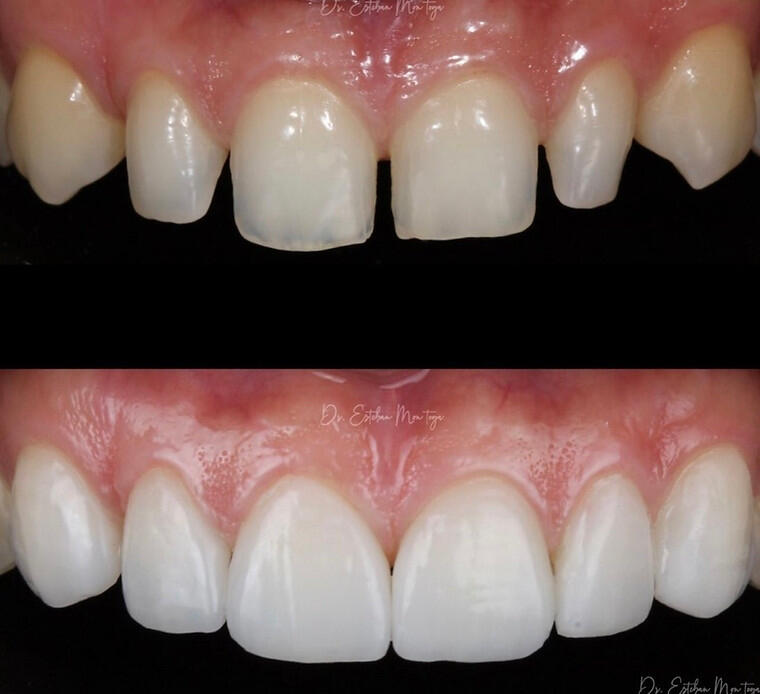
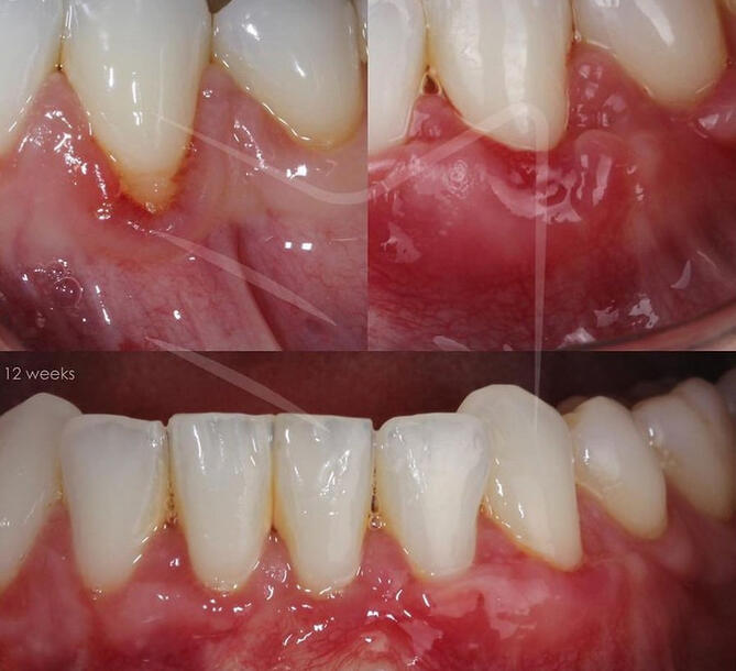
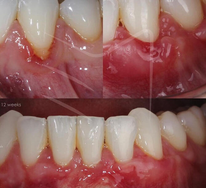
Real Patients. Real Results.
Our Case Studies + short patient video testimonials from our clinic in Costa Rica.
Tap any case to view full-size.
Results vary • Shared with permission • Specialist planning available
Featured Patient Stories
Real international cases treated at our clinic in Costa Rica.
Full Smile Reconstruction • 1 min
Veneers, crowns & dental implants.
A detailed case from a U.S. patient who chose Costa Rica for comprehensive treatment.
Meet Dr. Esteban • 1 min
15+ years specializing in implant dentistry.
Our philosophy: multidisciplinary planning and predictable outcomes.
Life-Changing Smile • 23 sec
A clinical case study highlighting a full-arch aesthetic restoration.
Looking for implant-specific cases?
Request a treatment plan to review relevant clinical examples.
No obligation • Secure form • Response within 24 hours
Trusted by International Implant Patients
Verified 5-star reviews from real patients treated at our clinic in Costa Rica.
⭐ 5 Average Rating
Based on verified Google reviews
⭐⭐⭐⭐⭐“...underwent dental implant surgery and smile design, and the results exceeded all expectations. The entire process was smooth, from consultation to final results.”— Marcela V.
⭐⭐⭐⭐⭐“...a full maxillary bone graft, 10 implants, and 8 crowns. The experience was exceptional and the recovery was easier than anticipated.”— Rommel P.
⭐⭐⭐⭐⭐“As someone who works in film and TV, a flawless smile is everything. Fly from NYC to see Dr. Montoya. Highly recommended.”— Chad W.
⭐⭐⭐⭐⭐“The implants look completely natural and flawless. The attention to detail is truly impressive.”— Ruben B.
More Patient Stories

Gabriela — From Bruxism to Confidence 1 min
Years of grinding affected both comfort and appearance. With proper planning and restorative care, she restored balance, strength, and confidence in her smile.

Alejandro — Smart Treatment Decision • 1 min
He evaluated multiple providers before deciding on a custom treatment plan that combined advanced care with significant savings.

Chad — Public-Facing Professional• 23 sec
As a model, appearance is everything. He trusted our team to deliver precision, aesthetics, and a confident result.
Led by Implant Specialist
Dr. Esteban Montoya
Master’s in Oral Surgery & Dental Implants
International training including NYU
15+ years clinical experience
500+ international patients treated
Modern digital implant planning technology
Dr. Montoya is a highly regarded Oral Surgeon specializing in full mouth reconstructions, dental implants and aesthetics. With over 15 years of experience in dentistry, he is dedicated to clinical excellence and providing exceptional care to his patients. His commitment to enhancing the quality of life for those he treats is a cornerstone of his practice.Dr. Montoya obtained his Master's in Oral Surgery and Dental Implants from The European University in Madrid, Spain. He has also participated in several prestigious international programs at NYU in New York and has published multiple articles in reputable European scientific journals.
Potential Cost Savings
Typical U.S.
Full-Arch Cost:
$25,000 – $35,000Typical Costa Rica Range:
$11,000 – $15,000
Save approximately $10,000–$20,000 depending on case complexity.
Clear quote provided after specialist evaluation.
Specialized solutions for functional and aesthetic dental restoration.

Aesthetic improvement for patients seeking cosmetic enhancement✔ Porcelain veneers
✔ Smile symmetry
✔ Natural finishView patient results

Full-arch restoration with fewer implants and structured planning.✔ Fixed solution
✔ Predictable timeline
✔ Ideal for significant tooth lossView patient results

Permanent tooth replacement designed for long-term stability and function.✔ Natural appearance
✔ Preserves jawbone
✔ Long-lasting solutionView patient results
Review available clinical options. Request an implant plan in 24h.




Trusted Implant Specialists

Dr. Esteban Montoya
Master’s in Oral Surgery & Dental Implants
International training (NYU)
1000+ advanced proceduresImplant-focused, experience-driven, specialist-level planning.

Smile design & restorative specialist.

Advanced endodontics & surgical support.

Maria Jesus Fallas
International patient coordinator.
A world-class destination for dental implants & a peaceful paradise for recovery.
Costa Rica is one of the leading destinations for dental tourism, offering U.S.-level dental care at savings of 50–70% compared to treatments in the United States and Canada.Beyond the clinic, Costa Rica offers a calm and restorative environment ideal for recovery. From beautiful beaches to lush rainforests and wellness retreats, patients can heal comfortably while enjoying one of the most welcoming countries in the world.

Home to 5%
of the World's
Biodiversity

Paradise,
Bioluminescent
Beaches and
Sea Turtle Havens

Tours and Activities
Frequently Asked Questions
Simple 4-Step Process
Complete the short form
The dental team prepares a treatment cost estimate
Travel assistance is available for flights and accommodations
Visit Costa Rica for advanced dental care
© 2025 WestPark Dental | All rights reserved
Website created by Nexo Sites
Request a Treatment Cost Estimate
Treatment cost estimate provided before travel.
Simple 4-Step Process
Complete the short form
The dental team prepares a treatment cost estimate
Travel assistance is available for flights and accommodations
Visit Costa Rica for advanced dental care
© 2025 WestPark Dental | All rights reserved
Website created by Nexo Sites
Request a Treatment Cost Estimate
Treatment cost estimate provided before travel.
Simple 4-Step Process
Complete the short form
The dental team prepares a treatment cost estimate
Travel assistance is available for flights and accommodations
Visit Costa Rica for advanced dental care
© 2025 WestPark Dental | All rights reserved
Website created by Nexo Sites
Request a Treatment Cost Estimate
Treatment cost estimate provided before travel.
Simple 4-Step Process
Complete the short form
The dental team prepares a treatment cost estimate
Travel assistance is available for flights and accommodations
Visit Costa Rica for advanced dental care
© 2025 WestPark Dental | All rights reserved
Website created by Nexo Sites
Request a Treatment Cost Estimate
Treatment cost estimate provided before travel.
A world-class destination for dental implants & a peaceful paradise for recovery.

Manuel Antonio National Park
Costa Rica’s #1 beach destination, known for white sand,
turquoise waters, monkeys, and sloths.
A relaxing and calm place to rest after treatment.
📍 Central Pacific — 2.5 hours from San José

La Fortuna & Arenal Volcano
Home of soothing hot springs,
peaceful rainforest hotels, and breathtaking views.
Ideal for relaxation and light recovery activities.
📍Northern Region — 3 hours from San José

Tamarindo Beach & Hacienda Pinilla Golf
A popular beach town with great restaurants,
sunsets, and walkable beaches,
plus access to Hacienda Pinilla’s championship golf course.
📍 Guanacaste — 1 hour from Liberia International Airport

Monteverde National Park
Cool mountain climate, ultra-quiet eco-lodges,
and panoramic views. One of the best spots
for peaceful, nature-based healing.
📍 Northwest Highlands — 3 hours from San José.
Lodging Options near West Park Clinic




Simple 4-Step Process
Complete the short form
The dental team prepares a treatment cost estimate
Travel assistance is available for flights and accommodations
Visit Costa Rica for advanced dental care
© 2025 WestPark Dental | All rights reserved
Website created by Nexo Sites
Request a Treatment Cost Estimate
Treatment cost estimate provided before travel.
Ceramic veneers protect and enhance chipped or damaged teeth, restoring a smooth, attractive appearance and helping to achieve a whiter smile after years of staining from coffee, soda, or wine. They provide a straight, even set of teeth, providing a durable, aesthetic enhancement.
Designed to last 15-20 years, these non-porous veneers are highly stain-resistant. The application process is painless and requires minimal alteration—just a thin layer of enamel is removed for a perfect fit.







Simple 4-Step Process
Complete the short form
The dental team prepares a treatment cost estimate
Travel assistance is available for flights and accommodations
Visit Costa Rica for advanced dental care
© 2025 WestPark Dental | All rights reserved
Website created by Nexo Sites
Request a Treatment Cost Estimate
Treatment cost estimate provided before travel.
The All-on-4® treatment concept offers a cost-effective, natural-looking solution for those missing most or all teeth in a row. Instead of replacing each tooth, four titanium posts are placed into the jawbone to anchor a complete set of teeth. This technique ensures the prosthesis remains secure, as the posts fuse with the bone for a strong, long-lasting foundation.The procedure can often be completed in a single day, providing an immediate aesthetic restoration, with most patients returning to their normal routine the next day.







Simple 4-Step Process
Complete the short form
The dental team prepares a treatment cost estimate
Travel assistance is available for flights and accommodations
Visit Costa Rica for advanced dental care
© 2025 WestPark Dental | All rights reserved
Website created by Nexo Sites
Request a Treatment Cost Estimate
Treatment cost estimate provided before travel.
Dental implants are a modern, durable solution for replacing missing teeth. These titanium posts are surgically placed in the jawbone, where they fuse with the bone over time, creating a strong foundation for natural-looking crowns. Implants not only restore functionality for chewing and speaking but also enhance aesthetics by preventing bone loss and maintaining facial structure. With proper care, they can last a lifetime, making them a reliable choice for those seeking a permanent solution to tooth loss.



Simple 4-Step Process
Complete the short form
The dental team prepares a treatment cost estimate
Travel assistance is available for flights and accommodations
Visit Costa Rica for advanced dental care
© 2025 WestPark Dental | All rights reserved
Website created by Nexo Sites
Request a Treatment Cost Estimate
Treatment cost estimate provided before travel.
A root canal is a refined procedure that preserves the natural tooth structure by removing infected tissue and sealing it to prevent future issues. Our expert team employs advanced techniques for a comfortable experience, restoring dental health and integrity for long-lasting functional results.

An endodontist uses specialized instruments for root canal procedures, including an endodontic explorer to locate canals, files for cleaning and shaping, and rotary instruments for efficiency. Suction tips clear debris, while gutta-percha and sealers fill and seal the canals. Radiographic equipment provides imaging, and a microscope enhances precision, all aimed at preserving natural teeth by addressing pulp issues.

A root canal removes infected pulp from a tooth, cleans the area, and seals it to preserve the tooth.
Simple 4-Step Process
Complete the short form
The dental team prepares a treatment cost estimate
Travel assistance is available for flights and accommodations
Visit Costa Rica for advanced dental care
© 2025 WestPark Dental | All rights reserved
Website created by Nexo Sites
Request a Treatment Cost Estimate
Treatment cost estimate provided before travel.
Dental aligners offer a discreet, luxurious approach to achieving a perfectly aligned smile. Custom-crafted from clear, high-quality materials, these aligners gradually shift teeth into proper alignment without the need for traditional braces. Designed for comfort and convenience and to seamlessly fit into daily routines, offering an elegant, discreet path to dental alignment, all while maintaining the sophistication of a virtually invisible treatment.

Simple 4-Step Process
Complete the short form
The dental team prepares a treatment cost estimate
Travel assistance is available for flights and accommodations
Visit Costa Rica for advanced dental care
© 2025 WestPark Dental | All rights reserved
Website created by Nexo Sites
Request a Treatment Cost Estimate
Treatment cost estimate provided before travel.
When considering treatment for periodontal disease, prioritize options that enhance overall oral health. This condition affects the gums and bone, leading to discomfort. While affordable surgical solutions exist, a comprehensive clinical assessment is essential to determine the appropriate periodontal care. Invest in long-term oral wellness for a healthier, more confident smile.

Gingivectomy

Soft Tissue Graft

Root Coverage

Dental Cleaning

Simple 4-Step Process
Complete the short form
The dental team prepares a treatment cost estimate
Travel assistance is available for flights and accommodations
Visit Costa Rica for advanced dental care
© 2025 WestPark Dental | All rights reserved
Website created by Nexo Sites
Request a Treatment Cost Estimate
Treatment cost estimate provided before travel.